Trump Expands US Travel Ban to 20 More Countries, Signaling a Broader Shift in U.S. Immigration Policy

The Trump administration has announced a significant expansion of the Trump expands US travel ban policy, widening entry restrictions to cover 20 additional countries and travelers using Palestinian Authority-issued documents. The move, finalized in mid-December 2025 and set to take effect on January 1, 2026, represents one of the most extensive changes to U.S. travel […]
Webb Telescope Finds Exoplanets That Defy Formation Theories

NASA’s James Webb Space Telescope (JWST) has detected a bizarre exoplanet with an unprecedented helium-and-carbon-dominated atmosphere, leaving astronomers baffled about its origins. Named PSR J2322-2650b, this Jupiter-mass world orbits a pulsar and features soot clouds and potential diamond formations deep within, defying all known formation models. The discovery, published in The Astrophysical Journal Letters, marks […]
Ukraine Strikes Russian Gas Plant as Berlin Peace Talks Stall

Kyiv says the Astrakhan strike targets Russia’s war-making supply chain, while negotiators in Berlin report progress but remain stuck on territory and security guarantees. Ukraine strikes Russian gas plant after Ukrainian forces said they hit the Astrakhan gas processing plant overnight, as high-level talks in Berlin continued without a final breakthrough on the toughest issues. […]
Disclosure Day Trailer: Steven Spielberg’s New UFO Thriller Gets First Look, Sets June 12, 2026 Release

Steven Spielberg’s Disclosure Day trailer is out, offering the first look at his new UFO mystery starring Emily Blunt and Josh O’Connor, and confirming a June 12, 2026 theatrical release. What was announced and why it matters? Universal Pictures has officially rolled out the Disclosure Day trailer, confirming the film’s title, its core ensemble cast, […]
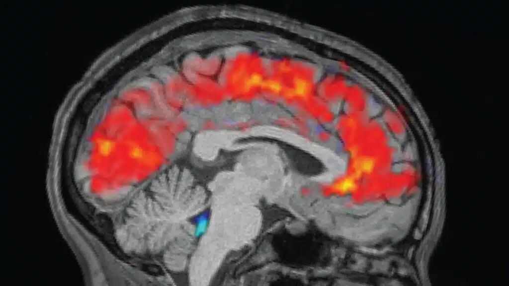
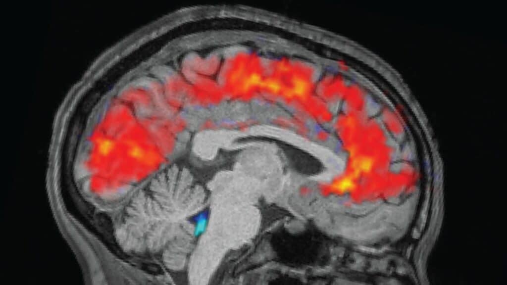
Study Finds 40% of Fmri Brain Scans Misread Neural Activity

A groundbreaking study reveals that functional magnetic resonance imaging (fMRI), a cornerstone of modern brain research, misinterprets neural activity in about 40% of cases. Researchers from the Technical University of Munich (TUM) and Friedrich-Alexander-University Erlangen-Nuremberg (FAU) discovered that increased fMRI signals often correspond to reduced brain activity, upending a key assumption behind tens of thousands […]
Hamas Accuses Israel of 813 Gaza Ceasefire Violations

Hamas says Israel has committed 813 ceasefire violations in Gaza since a truce took effect on Oct. 10, warning the alleged breaches could jeopardize the agreement. Israel has previously said its forces have opened fire when Palestinians approached Israeli positions in violation of warnings, amid recurring mutual accusations over the truce’s implementation. Lead A senior […]
Why Law Matters for the Global Economy: Rule of Law, Growth, and Stability

Why do some countries grow steadily while others struggle, even with similar resources? A major reason is the link between the rule of law and economic growth. When people and businesses trust that contracts will be enforced and property will be protected, they invest, innovate, and take risks. When laws are unclear or unfair, uncertainty […]
Apple Plans Seven iPhone Models by 2027, Including First Foldable

Apple is reportedly preparing the biggest revamp of its iPhone lineup in years, with plans to sell at least seven different iPhone models annually by 2027, including its first-ever foldable iPhone, expected to debut in 2026. The expanded roadmap aims to stabilize revenue across the year, introduce bold new form factors, and culminate in a […]
Cloudflare 2025 Radar Report: AI Surge, Record DDoS, Post-Quantum Shift

Cloudflare has released its 2025 Radar Year in Review, reporting 19% global internet traffic growth, surging AI crawler activity, record-setting DDoS attacks, and a jump in post-quantum encryption adoption. Cloudflare published the 2025 Cloudflare Radar Year in Review on December 15, 2025, summarizing internet trends it observed across traffic, AI, adoption and usage, connectivity, security, […]
Google Introduces CC AI Assistant to Simplify Daily Briefings

Google has officially unveiled CC, a new experimental AI productivity assistant designed to help users organize their mornings more efficiently. Announced on Monday, CC is built using Google’s Gemini AI models and focuses on delivering a clear, personalized overview of a user’s day. Rather than forcing users to check multiple apps, CC brings together key […]
OpenAI in Talks to Raise $10B From Amazon

The reported discussions could value OpenAI above $500 billion and may include a hardware tie-up around Amazon’s in-house AI chips. OpenAI in talks to raise $10B from Amazon is the latest signal that the biggest tech companies are reshaping alliances in generative AI, as OpenAI explores a major new strategic investor beyond Microsoft. The talks […]
Trump Believes Putin Wants All of Ukraine, White House Chief Says

White House Chief of Staff Susie Wiles has disclosed that President Donald Trump privately believes Russian President Vladimir Putin ultimately wants control over all of Ukraine, not just the eastern territories currently under Russian occupation. This assessment, shared during a wide-ranging interview, offers a rare glimpse into Trump’s internal thinking and sharply contrasts with his […]
